Histoires vécues

Paru il y a quarante ans chez Robert Laffont sous le titre de Nicolas Gayoûle, voila

1 L'exposition à Grètèdar

Je vous remercie  de votre présence qui est un encouragement pour nous.

« Explo » (« Exploration du Monde ») nous propose, à nouveau, un reportage assez particulier, cel

Il y a quelques années, une jeune fille africaine venue faire ses études en Europe a

Francis RION

Fou de football, l’homme, né à Dalhem, fut arbitre international jusqu’en 1981.

30ème anniversaire de l'Ecole francophone et du Centre sportif et culturel de Fourons

En ce samedi 22 octobre, la communauté francophone des Fourons était réunie à Fouron-Sain

Roger la Honte

40 ans après la mort de Roger Claessen, son fils s'exprime : « Aujourd’hui encore, des ge

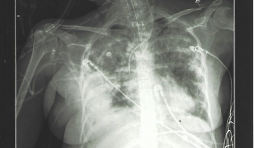
Le pari fou d’une mère qui veut sortir son fils du coma en réalisant ses rêves…

L’Ardenne des années cinquante voit affluer les touristes venus de Bruxelles et de Fl

Pages